• Home
  • About us
  • Modules
  • Basic knowledge
  • Body parts
  • Interventional radiology
  • Subscribe
  • Favourites
    Module

    X-Hand

    The basic principles about the hand X-ray examination.

    X-Hand
    Radiology Expert
    add to favourites

    X-hand - Introduction

    An X-hand examination can be used both in cases of suspected acute pathology (in particular fracture) and chronic pathology (including osteoarthritis).
    Some of the key topics are Boxer’s fracture, Rolando fracture and Mallet finger.

    Prior to this module, it is wise to read the Fracture General Principles module.
    Tip: X-Wrist examination is also a nice addition to study.
     

    KEY TOPICS/TERMS:

    • Finger luxation
    • Tuft fracture
    • Boxer’s fracture
    • Bennett / Rolando fracture
    • Skier’s thumb
    • Mallet finger
    • Boutonniere deformity
    • Osteoarthritis
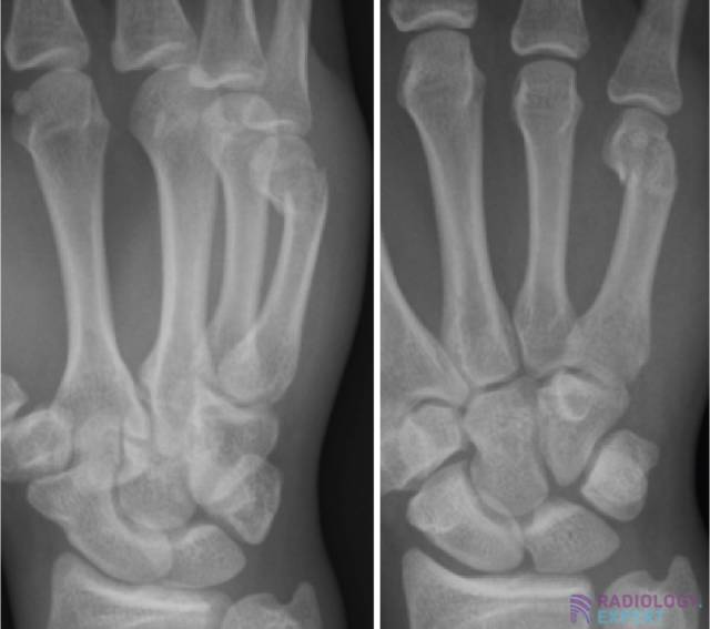
    Boxer’s fracture. Boxer’s fracture.
    Click image to see overlay

    Interested?

    Learn everything about X-Hand

    Buy all modules for €5,95 for 1 month or all modules for €29,95 per year.
    Literature: sources and author

    Text

    drs. A. van der Plas (MSK radiologist Maastricht UMC+)

    With special thanks to:
    dhr. S. Challiui  (Advanced Practioner Radiology LUMC)
    dhr. A. Bubberman (Advanced Practioner Radiology LUMC)

    Illustrations

    drs. A. van der Plas (MSK radiologist Maastricht UMC+)


    Sources

    • B.J. Manaster et al. The Requisites – Musculoskeletal Imaging. 2007.
    • N. Raby et al. Accident & Emergency Radiology – A Survival Guide. 2005.
    • R.W.Bucholz Rockwood & Green’s Fracturen in Adults. 2006.
    • Prof.dr. J.A.N. Verhaar, dr. J.B.A. van Mourik. Orthopedie. 2008.
    • K.L. Bontrager, J.P. Lampignano. Textbook of Radiographic Positioning and Related Anatomy. 2014 (8th edition).

    20/03/2014

    (All the work (text, illustrations, visual elements) seen on this website is copyright by Radiology Expert.
    It may not be used without written permission of Radiology Expert).