• Home
  • About us
  • Modules
  • Basic knowledge
  • Body parts
  • Interventional radiology
  • Subscribe
  • Favourites
    Module

    Interventional Radiology - The Stroke Patient

    The role of interventional radiologists in the management of stroke patients.

    Interventional Radiology - The Stroke Patient
    Radiology Expert
    add to favourites

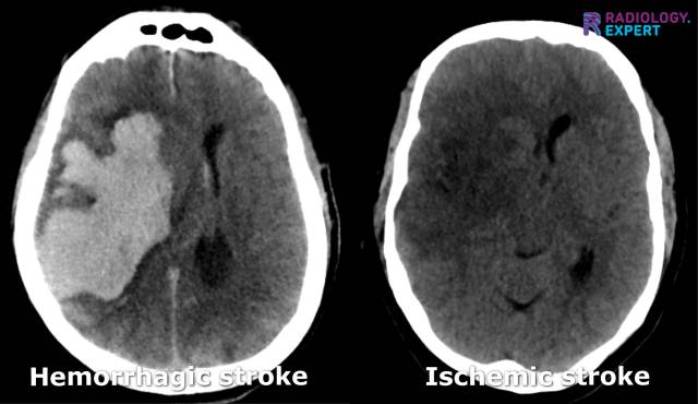
    Non-contrast CT Brain

    In cases of clinical suspicion of a stroke, a non-contrast CT scan of the brain is generally performed first: a 'non-contrast CT' (Fig. 12). The main objective is to distinguish between an ischemic and a hemorrhagic stroke and to rule out other abnormalities (such as space-occupying lesions). A non-contrast CT brain has a high sensitivity for detecting intracerebral hemorrhages. However, the brain parenchyma often shows few abnormalities in the first hours of a cerebral infarction. Nonetheless, there should always be a search for (subtle) CT abnormalities that may indicate ischemia. Any occlusion's presence, extent, and location are difficult to determine on a non-contrast CT scan.

    Hemorrhagic stroke and ischemic stroke on CT Hemorrhagic stroke and ischemic stroke on CT
    Figure 12. Non-contrast CT brain. Hemorrhagic stroke vs. ischemic stroke.
    Click image to see overlay

    Interested?

    Learn everything about Interventional Radiology - The Stroke Patient

    Buy all modules for €5,95 for 1 month or all modules for €29,95 per year.
    Literature: sources and author

    Text & Illustrations

    drs.A. van der Plas, MSK radiologist Maastricht UMC+

    For content review, special thanks to:

    Prof. dr. W.H. van Zwam, interventional radiologist Maastricht UMC+
    Dr. S.W. de Boer, interventional radiologist Maastricht UMC+

    Sources:

    • M. Abdalkadera, J. E. Sieglerb et al.;Neuroimaging of Acute Ischemic Stroke: Multimodal Imaging Approach for Acute Endovascular Therapy. J. Stroke 2023

    • Dr. J.B.M. Kuks, Dr. J. W. Snoek; Klinische Neurologie (2007)

    • B.K. Menon et al; Multiphase CT angiography: a new tool for the imaging triage of patients with acute ischemic stroke. Radiology 2015;275:510-520

    • C.A. Potter; CT for Treatment Selection in Acute Ischemic Stroke: A Code Stroke Primer. Radiographics 2019

    • H.P. Adams Jr., P.H. Davis et al.;. Baseline NIH Stroke Scale score strongly predicts outcome after stroke: A report of the Trial of Org 10172 in Acute Stroke Treatment (TOAST). Neurology 1999

    • D. Runde; Calculated Decisions: NIH stroke scale/score (NIHSS). Emerg Med Pract. 2020

    • V. Puetz et al.; The Alberta Stroke Program Early CT Score in Clinical Practice: What have We Learned? Int J Stroke 2009

    • U.Jensen-Kondering, C. Riedel, O. Jansen; Hyperdense artery sign on computed tomography in acute ischemic stroke. World J Radiol. 2010

    • A.Y. Poppe et al.; Tandem Carotid Lesions in Acute Ischemic Stroke: Mechanisms, Therapeutic Challenges, and Future Directions. American Journal of Neuroradiology (2020)

    • S.H. Baik; A Review of Endovascular Treatment for Posterior Circulation Strokes. Neurointervention (2023)

    • S.M Pilgram-Pastor et al.; Stroke thrombectomy complication management. J Neurointerv Surg. (2021)

    • M.U.Farooq; Pathophysiology and management of reperfusion injury and hyperperfusion syndrome after carotid endarterectomy and carotid artery stenting. Experimental & Translational Stroke Medicine (2016)

    26/02/2024

    (All the work (text, illustrations, visual elements) seen on this website is copyright by Radiology Expert.
    It may not be used without written permission of Radiology Expert).