• Home
  • About us
  • Modules
  • Basic knowledge
  • Body parts
  • Interventional radiology
  • Subscribe
  • Favourites
    Module

    X-Wrist

    The basic principles about the wrist X-ray examination.

    X-Wrist
    Radiology Expert
    add to favourites

    X-Wrist - Introduction

    An X-ray of the wrist is a frequently conducted examination and is mainly used for diagnosing a fracture.
    Some of the key topics are scaphoid fracture, triquetral fracture, perilunate dislocation and scapholunate dissociation.

    Prior to this module, it is wise to read the Fracture General Principles module.
    Tip: X-Hand examination is also nice addition to study.

    This module consists of the components indication/technique, normal anatomy, checklist and pathology.
     
    KEY TOPICS/TERMS:

    • Distal Radial Fracture
    • Greenstick / torus fracture
    • Scaphoid Fracture
    • Triquetral Fracture
    • Perilunate Dislocation
    • Lunate Dislocation
    • Scapholunate Dissociation
    • SLAC
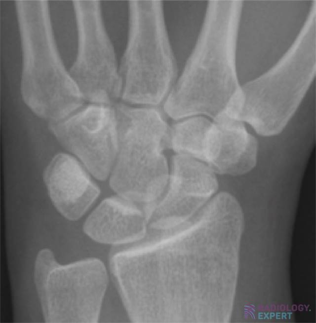
    Carpal bones. Normal anatomy. Carpal bones. Normal anatomy.
    Click image to see overlay

    Interested?

    Learn everything about X-Wrist

    Buy all modules for €5,95 for 1 month or all modules for €29,95 per year.
    Literature: sources and author

    Text & Illustrations

    drs. A. van der Plas (MSK radiologist Maastricht UMC+)

    Sources:

    • Manaster et al. The Requisites – Musculoskeletal Imaging. 2007.

    • N. Raby et al. Accident & Emergency Radiology – A Survival Guide. 2005.

    • R.W.Bucholz Rockwood & Green’s Fracturen in Adults. 2006.

    • Prof.dr. J.A.N. Verhaar, dr. J.B.A. van Mourik. Orthopedie. 2008.

    • Malik A.K. et al; Scaphoid views: a need for standardisation. Ann R Coll Surg Engl 2004.

    09/07/2016

    (All the work (text, illustrations, visual elements) seen on this website is copyright by Radiology Expert.
    It may not be used without written permission of Radiology Expert).