• Home
  • About us
  • Modules
  • Basic knowledge
  • Body parts
  • Interventional radiology
  • Subscribe
  • Favourites
    Module

    X-Hip

    The basic principles about the hip X-ray examination.

    X-Hip
    Radiology Expert
    add to favourites

    X-Hip - Introduction

    An hip X-ray examination can be used both in cases of suspected acute pathology (in particular fracture) and chronic pathology (including osteoarthritis).
    Some of the key topics are femoral fracture, hip luxation, avascular necrosis and osteoarthritis.
    Prior to this module, it is wise to read the Fracture General Principles module.
     
    This module consists of the components indication/technique, normal anatomy, checklist and pathology.
     

    KEY TOPICS/TERMS:

    • Iliopectineal line / ilioischial line
    • Proximal femoral fracture
    • Hip Luxation
    • Avascular necrosis
    • Acetabular Fracture
    • Osteoarthritis
    • Hip arthroplasty
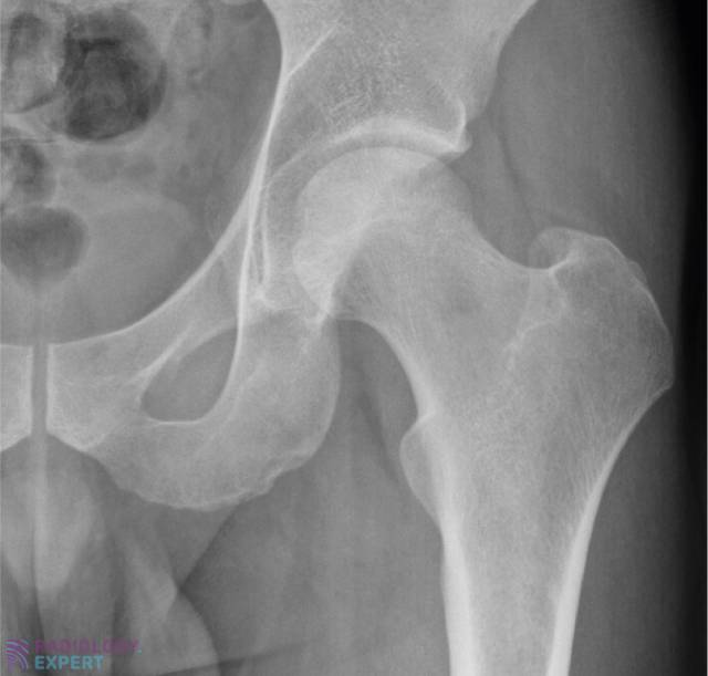
    Normal anatomy AP image of the hip Normal anatomy AP image of the hip
    Click image to see overlay

    Interested?

    Learn everything about X-Hip

    Buy all modules for €5,95 for 1 month or all modules for €29,95 per year.
    Literature: sources and author

    Text & illustrations

    drs. A. van der Plas, MSK radiologist Maastricht UMC+
     
    Sources:

    • B.J. Manaster et al. The Requisites – Musculoskeletal Imaging. 2007
    • N. Raby et al. Accident & Emergency Radiology – A Survival Guide. 2005.
    • K.L. Bontrager, J.P. Lampignano. Textbook of Radiographic Positioning and Related Anatomy. 2014 (8th edition)
    • Seung-Jae Lim, MD, Yoon-Soo Park, MD. Plain Radiography of the Hip: A Review of Radiographic Techniques and Image Features. Hip&Pelvis 2015.
    • L. Cerezal et al. Anatomy, Biomechanics, Imaging and Management of Ligamentum Teres Injuries. Radiographics 2010

    20/12/2017 

    (All the work (text, illustrations, visual elements) seen on this website is copyright by Radiology Expert.
    It may not be used without written permission of Radiology Expert).