• Home
  • About us
  • Modules
  • Basic knowledge
  • Body parts
  • Interventional radiology
  • Subscribe
  • Favourites
    Module

    X-Elbow

    The basic principles about the elbow X-ray examination.

    X-Elbow
    Radiology Expert
    add to favourites

    X-ELBOW - Introduction

    An X-ray of the elbow is a frequently conducted examination and is mainly used for diagnosing a fracture.
    Some of the key topics are radial head fracture, supracondylar humeral fracture, anterior/posterior fat pad and elbow luxation.
    Prior to this module, it is wise to read the Fracture General Principles module.
     
    This module consists of the components indication/technique, normal anatomy, checklist and pathology.

    KEY TOPICS/TERMS:

    • Radial head fracture
    • Radial head luxation
    • Pulled elbow / Nursemaid's elbow
    • Essex-Lopresti fracture
    • Monteggia fracture
    • Supracondylar humeral fracture
    • Lateral humeral condylar fracture
    • Medial humeral epicondylar fracture
    • Olecranon fracture
    • Elbow luxation
    • Osteoarthritis
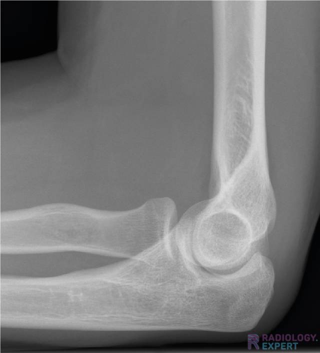
    Normale anatomie op een  X-elleboog opname (laterale opname) Normale anatomie op een  X-elleboog opname (laterale opname)
    Click image to see overlay

    Interested?

    Learn everything about X-Elbow

    Buy all modules for €5,95 for 1 month or all modules for €29,95 per year.
    Literature: sources and author

    Text

    drs. A. van der Plas (MSK radiologist Maastricht UMC+)

    With special thanks to:
    drs. M. Özdemir (radiologist Noordwest Ziekenhuisgroep)
    dhr. A. Bubberman (Advanced Practioner Radiology LUMC)
     

    Illustrations

    drs. A. van der Plas (MSK radiologist Maastricht UMC+)


    Sources:

    • B.J. Manaster et al. The Requisites – Musculoskeletal Imaging (2007).
    • N. Raby et al. Accident & Emergency Radiology – A Survival Guide. (2005).
    • K.L. Bontrager, J.P. Lampignano. Textbook of Radiographic Positioning and Related Anatomy. 2014 (8th edition)

    14/05/2016 

    (All the work (text, illustrations, visual elements) seen on this website is copyright by Radiology Expert.
    It may not be used without written permission of Radiology Expert).