• Home
  • About us
  • Modules
  • Basic knowledge
  • Body parts
  • Interventional radiology
  • Subscribe
  • Favourites
    Module

    Interventional Radiology - The Stroke Patient

    The role of interventional radiologists in the management of stroke patients.

    Interventional Radiology - The Stroke Patient
    Radiology Expert
    add to favourites

    Introduction

    A stroke/cerebrovascular accident (CVA) is an acute life-threatening condition where rapid action is crucial to minimize consequences (death or permanent neurological damage) and promote recovery: "Time is Brain". Therefore, swift and adequate emergency care, diagnosis, and treatment are essential.
    Since 2015, a new treatment for CVA, mechanical thrombectomy, has been included in the guidelines, where a clot in a cerebral artery is mechanically removed. Typically, this procedure is performed by an interventional radiologist (a subspecialty within the field of radiology). Many hospitals have created care pathways to ensure good and efficient care delivery, establishing clear agreements between the neurology and radiology/interventional radiology specialties.

    The importance of advanced imaging (particularly CT angiography and CT perfusion) and an explanation of the intervention procedure (mechanical thrombectomy) will be extensively covered in this module. Additionally, a practical insight into the overall process of multidisciplinary care for CVA patients will be provided.

    KEY TOPICS/TERMS:

    • Ischemic stroke
    • Hemorrhagic stroke
    • Brain lobes
    • Cerebral vascular territories
    • Anterior and posterior circulation
    • Circle of Willis
    • Segments of internal carotid artery (ICA)
    • Segments of middle cerebral artery (MCA)
    • National Institutes of Health Stroke Scale (NIHSS)
    • Ischemic changes on non-contrast CT brain
    • Dense vessel sign / dot sign
    • Insular ribbon sign
    • Alberta Stroke Program Early CT Score (ASPECTS)
    • Large Vessel Occlusion
    • CT angiography
    • CT perfusion (MTT, CBF, CBV, Tmax)
    • Time-density curve
    • Core and penumbra
    • Carotid artery obstructions
    • Carotid artery dissection
    • Carotid artery pseudo-occlusion
    • Intravenous thrombolysis (IVT)
    • Digital Subtraction Angiography (DSA)
    • Intra-arterial thrombectomy (IAT) / mechanical thrombectomy
    • Stent retriever and aspiration
    • Modified Treatment in Cerebral Infarction (mTICI)
    • Carotid artery stenting
    • Modified Rankin Scale (mRS)
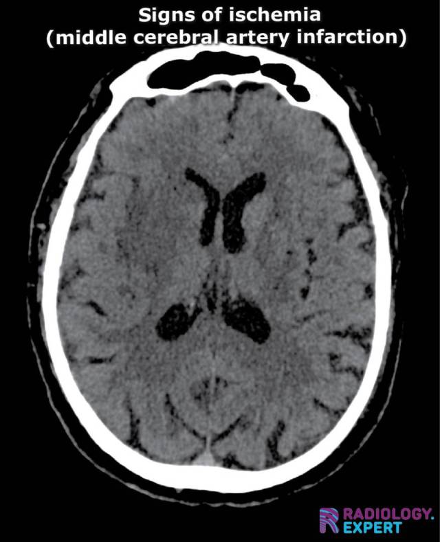
    ischemic sigs MCA infarction on CT. Insular ribbon sign. Blurring basal ganglia ischemic sigs MCA infarction on CT. Insular ribbon sign. Blurring basal ganglia
    Click image to see overlay

    Interested?

    Learn everything about Interventional Radiology - The Stroke Patient

    Buy all modules for €5,95 for 1 month or all modules for €29,95 per year.
    Literature: sources and author

    Text & Illustrations

    drs.A. van der Plas, MSK radiologist Maastricht UMC+

    For content review, special thanks to:

    Prof. dr. W.H. van Zwam, interventional radiologist Maastricht UMC+
    Dr. S.W. de Boer, interventional radiologist Maastricht UMC+

    Sources:

    • M. Abdalkadera, J. E. Sieglerb et al.;Neuroimaging of Acute Ischemic Stroke: Multimodal Imaging Approach for Acute Endovascular Therapy. J. Stroke 2023

    • Dr. J.B.M. Kuks, Dr. J. W. Snoek; Klinische Neurologie (2007)

    • B.K. Menon et al; Multiphase CT angiography: a new tool for the imaging triage of patients with acute ischemic stroke. Radiology 2015;275:510-520

    • C.A. Potter; CT for Treatment Selection in Acute Ischemic Stroke: A Code Stroke Primer. Radiographics 2019

    • H.P. Adams Jr., P.H. Davis et al.;. Baseline NIH Stroke Scale score strongly predicts outcome after stroke: A report of the Trial of Org 10172 in Acute Stroke Treatment (TOAST). Neurology 1999

    • D. Runde; Calculated Decisions: NIH stroke scale/score (NIHSS). Emerg Med Pract. 2020

    • V. Puetz et al.; The Alberta Stroke Program Early CT Score in Clinical Practice: What have We Learned? Int J Stroke 2009

    • U.Jensen-Kondering, C. Riedel, O. Jansen; Hyperdense artery sign on computed tomography in acute ischemic stroke. World J Radiol. 2010

    • A.Y. Poppe et al.; Tandem Carotid Lesions in Acute Ischemic Stroke: Mechanisms, Therapeutic Challenges, and Future Directions. American Journal of Neuroradiology (2020)

    • S.H. Baik; A Review of Endovascular Treatment for Posterior Circulation Strokes. Neurointervention (2023)

    • S.M Pilgram-Pastor et al.; Stroke thrombectomy complication management. J Neurointerv Surg. (2021)

    • M.U.Farooq; Pathophysiology and management of reperfusion injury and hyperperfusion syndrome after carotid endarterectomy and carotid artery stenting. Experimental & Translational Stroke Medicine (2016)

    26/02/2024

    (All the work (text, illustrations, visual elements) seen on this website is copyright by Radiology Expert.
    It may not be used without written permission of Radiology Expert).