• Home
  • About us
  • Modules
  • Basic knowledge
  • Body parts
  • Interventional radiology
  • Subscribe
  • Favourites
    Module

    CT brain hemorrhage

    The basic principles of the CT brain examination, focused on intracerebral hemorrhage.

    CT brain hemorrhage
    Radiology Expert
    add to favourites

    CT Brain Hemorrhage - Introduction

    Read all about the different types of intracerebral hemorrhage on a CT examination. Herewith the basic brain anatomy is being discussed.
    Some of the key topics are subarachnoid hemorrhage, subdural/epidural hemorrhage and parenchymal hemorrhage.

    Prior to this module, it is wise to read the X-ray/CT Technique module.
     

    This module consists of the components indication/technique, normal anatomy, checklist and pathology.
     
    KEY TOPICS/TERMS:

    • Subarachnoid hemorrhage
    • Subdural hematoma
    • Epidural hematoma
    • Intracerebral hemorrhage
    • Cerebral herniation
    • Hydrocephalus
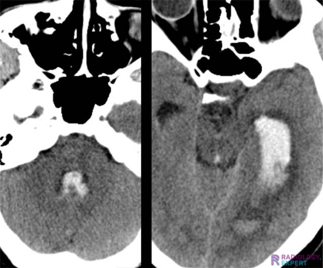
    Extensive intraventricular blood in the left lateral ventricle, the aqueduct and the 4th ventricle. Extensive intraventricular blood in the left lateral ventricle, the aqueduct and the 4th ventricle.
    Click image to see overlay

    Interested?

    Learn everything about CT brain hemorrhage

    Buy all modules for €5,95 for 1 month or all modules for €29,95 per year.
    Literature: sources and author

    Text & Illustrations

    drs. A. van der Plas, MSK radiologist Maastricht UMC+
     
    Sources:

    • D. M. Yousem et al; The Requisites – Neuroradiology (2010)
    • J. B. M. Kuks,J.W. Snoek; Klinische neurologie (2007)
    • M. Schünke, E.Schulte, U.Schumacher; Anatomische atlas Prometheus: Hoofd, hals en neuroanatomie (2007)
    • A.D. Perron et al; A multicenter study to improve emergency medicine residents’ recognition of intracranial emergencies on computed tomography. Ann Emerg Med. 1998.
    • M. Prokop et al; Spiral and Multislice Computed Tomography of the body (2003)

    09/03/2014 

    (All the work (text, illustrations, visual elements) seen on this website is copyright by Radiology Expert.
    It may not be used without written permission of Radiology Expert).