• Home
  • About us
  • Modules
  • Basic knowledge
  • Body parts
  • Interventional radiology
  • Subscribe
  • Favourites
    Module

    Chest X-ray ICU

    The basic principles about the chest X-ray examination of a patient on the ICU.

    Chest X-ray ICU
    Radiology Expert
    add to favourites

    Introduction

    This module provides an extra depth to the general module about the chest X-ray examination, in which the assessment of the ventilation tube/lining is discussed in particular.
    Prior to this module it is wise to read module X-Thorax.

    Tip: for extra depth it may be interesting to have a look at the chest X-ray child module afterwards.
     
    This module consists of the components indication/technique, normal anatomy, checklist and pathology.
     


    KEY TOPICS/TERMS:

    • Breathing Tube
    • Position lines (pleural drain, central venous line, gastric tube, Swan-Ganz catheter, IABP)
    • Atelectasis
    • Pleural Fluid
    • Congestive Heart Failure
    • Pneumothorax
    • Pneumonia
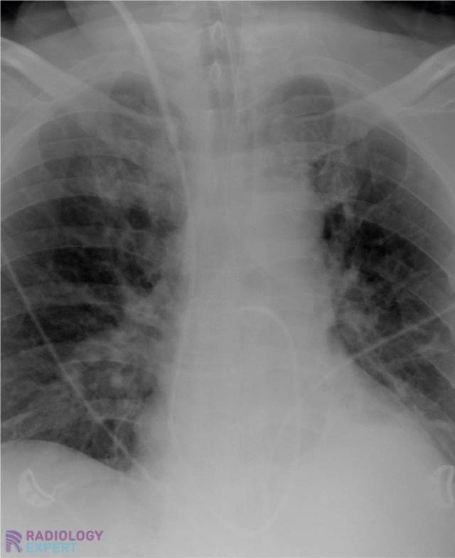
    Swan-Ganz catheter in pulmonary artery Swan-Ganz catheter in pulmonary artery
    Click image to see overlay

    Interested?

    Learn everything about Chest X-ray ICU

    Buy all modules for €5,95 for 1 month or all modules for €29,95 per year.
    Literature: sources and author

    Text & Illustrations

    drs. A. van der Plas (MSK radiologist Maastricht UMC+)

    With special thanks to:
    drs. I. Bosma (radiologist Kantonsspital Winterthur (KSW))

    Sources:

    • W. R. Webb MD, C. B. Higgins. Thoracic Imaging: Pulmonary and Cardiovascular Radiology (second edition, 2011).
    • Anesth Analg. 2007 Sep;105(3):735-8. The carina as a useful radiographic landmark for positioning the intraaortic balloon pump. Kim JT1, Lee JR, Kim JK
    • AJR: 198, March 2012. Chest Radiography in the ICU Part I, Evaluation of Airway, Enteric, and Pleural Tubes. Godoy M.C.B, Leitman B.L et al.
    • AJR: 198:572-581, March 2012. Chest Radiography in the ICU Part II, Evaluation of Cardiovascular Lines and Other Devices. Godoy M.C.B, Leitman B.L et al.

    19/09/2017

    (All the work (text, illustrations, visual elements) seen on this website is copyright by Radiology Expert.
    It may not be used without written permission of Radiology Expert).