• Home
  • Over ons
  • Modules
  • Basiskennis
  • Lichaamsdelen
  • Interventieradiologie
  • Inschrijven
  • Favorieten
    Nederlands
  • English
  • Nederlands
  • Module

    X-Thorax IC

    De basis principes van het X-thorax onderzoek bij een IC patient.

    X-Thorax IC
    Radiology Expert
    Toevoegen aan favorieten

    Introduction

    Deze module geeft een extra verdieping op de algemene module over het X-thorax onderzoek, waarbij m.n. de beoordeling van de beademingstube/belijning aan bod komen.
    Voorafgaand aan deze module is het verstandig module X-Thorax te volgen.

    Tip: wellicht is het interessant aansluitend module X-Thorax Kind te volgen.
     

    Deze module is opgebouwd uit de onderdelen indicatie/techniek, normale anatomie, stappenplan en pathologie.
     
    BELANGRIJKE ONDERWERPEN/TERMEN IN DE MODULE:

    • Beademingstube
    • Positie lijnen (pleuradrain, centraal veneuze lijn, maagsonde, Swan-Ganz catheter, IABP)
    • Atelectase
    • Pleuravocht
    • Decompensatio cordis
    • Pneumothorax
    • Pneumonie
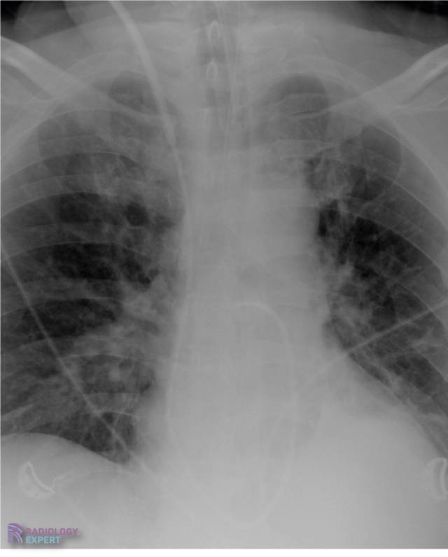
    Swan-Ganz catheter via de v. jugularis rechts met de tip proximaal in de rechter a. pulmonalis. Swan-Ganz catheter via de v. jugularis rechts met de tip proximaal in de rechter a. pulmonalis.
    Klik op afbeelding om overlay te zien

    Nieuwsgierig?

    Leer alles over X-Thorax IC

    Koop een losse module voor €2,50 of alle modules voor €25 per jaar.
    Literatuur: bronnen en auteur

    Text & Illustrations

    drs. A. van der Plas (MSK radiologist Maastricht UMC+)

    With special thanks to:
    drs. I. Bosma (radiologist Kantonsspital Winterthur (KSW))

    Sources:

    • W. R. Webb MD, C. B. Higgins. Thoracic Imaging: Pulmonary and Cardiovascular Radiology (second edition, 2011).
    • Anesth Analg. 2007 Sep;105(3):735-8. The carina as a useful radiographic landmark for positioning the intraaortic balloon pump. Kim JT1, Lee JR, Kim JK
    • AJR: 198, March 2012. Chest Radiography in the ICU Part I, Evaluation of Airway, Enteric, and Pleural Tubes. Godoy M.C.B, Leitman B.L et al.
    • AJR: 198:572-581, March 2012. Chest Radiography in the ICU Part II, Evaluation of Cardiovascular Lines and Other Devices. Godoy M.C.B, Leitman B.L et al.

    19/09/2017

    (All the work (text, illustrations, visual elements) seen on this website is copyright by Radiology Expert.
    It may not be used without written permission of Radiology Expert).