• Home
  • Over ons
  • Modules
  • Basiskennis
  • Lichaamsdelen
  • Interventieradiologie
  • Inschrijven
  • Favorieten
    Nederlands
  • English
  • Nederlands
  • Module

    X-Pols

    De basis principes van het X-pols onderzoek.

    X-Pols
    Radiology Expert
    Toevoegen aan favorieten

    X-Pols - Introductie

    Het X-pols onderzoek is een veel aangevraagd onderzoek en wordt met name ingezet voor het aantonen/uitsluiten van een fractuur
    Belangrijke onderwerpen die o.a. aan bod komen scaphoïd fractuur, triquetrum fractuur, perilunatum dislocatie en scapholunaire dissociatie.

    Voorafgaand aan deze module is het verstandig module Fractuurleer te volgen.
    Tip: module X-Hand is een mooie aanvulling om te volgen.
     
    De module is opgebouwd uit de onderdelen indicatie/techniek, normale anatomie, stappenplan en pathologie.
     
    BELANGRIJKE ONDERWERPEN/TERMEN IN DE MODULE:

    • Distale radius fractuur
    • Greenstick / torus fractuur
    • Scaphoïd fractuur
    • Triquetrum fractuur
    • Perilunatum dislocatie
    • Lunatum dislocatie
    • Scapholunaire dissociatie
    • SLAC
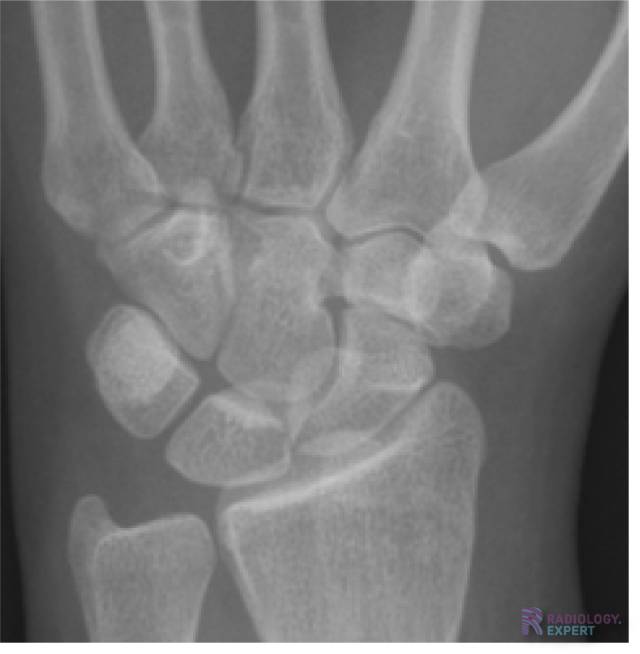
    Normale anatomie carpalia. Normale anatomie carpalia.
    Klik op afbeelding om overlay te zien

    Nieuwsgierig?

    Leer alles over X-Pols

    Koop een losse module voor €2,50 of alle modules voor €25 per jaar.
    Literatuur: bronnen en auteur

    Text & Illustrations

    drs. A. van der Plas (MSK radiologist Maastricht UMC+)

    Sources:

    • Manaster et al. The Requisites – Musculoskeletal Imaging. 2007.

    • N. Raby et al. Accident & Emergency Radiology – A Survival Guide. 2005.

    • R.W.Bucholz Rockwood & Green’s Fracturen in Adults. 2006.

    • Prof.dr. J.A.N. Verhaar, dr. J.B.A. van Mourik. Orthopedie. 2008.

    • Malik A.K. et al; Scaphoid views: a need for standardisation. Ann R Coll Surg Engl 2004.

    09/07/2016

    (All the work (text, illustrations, visual elements) seen on this website is copyright by Radiology Expert.
    It may not be used without written permission of Radiology Expert).