• Home
  • Over ons
  • Modules
  • Basiskennis
  • Lichaamsdelen
  • Interventieradiologie
  • Inschrijven
  • Favorieten
    Nederlands
  • English
  • Nederlands
  • Module

    X-Heup

    De basis principes van het X-heup onderzoek.

    X-Heup
    Radiology Expert
    Toevoegen aan favorieten

    X-Heup - Introductie

    Het X-heup onderzoek kan zowel ingezet worden bij verdenking op acute pathologie (m.n. fractuur) als ook bij chronische pathologie (o.a. artrose).
    Belangrijke onderwerpen die o.a. aan bod komen zijn femurfractuur, heupluxatie, avasculaire necrose en artrose.
    Voorafgaand aan deze module is het verstandig module Fractuurleer te volgen.

    De module is opgebouwd uit de onderdelen indicatie/techniek, normale anatomie, stappenplan en pathologie.
     
    BELANGRIJKE ONDERWERPEN/TERMEN IN DE MODULE:

    • Iliopectineale lijn/ilioschiale lijn
    • Proximale femurfractuur
    • Heupluxatie
    • Avasculaire necrose (AVN)
    • Acetabulum fractuur
    • Artrose
    • Heupprothese
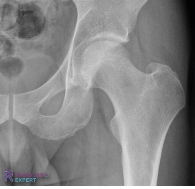
    Normale anatomie X-heup (AP opname) Normale anatomie X-heup (AP opname)
    Klik op afbeelding om overlay te zien

    Nieuwsgierig?

    Leer alles over X-Heup

    Koop alle modules voor 1 maand voor €5,95 of alle modules voor €29,95 per jaar.
    Literatuur: bronnen en auteur

    Text & illustrations

    drs. A. van der Plas, MSK radiologist Maastricht UMC+
     
    Sources:

    • B.J. Manaster et al. The Requisites – Musculoskeletal Imaging. 2007
    • N. Raby et al. Accident & Emergency Radiology – A Survival Guide. 2005.
    • K.L. Bontrager, J.P. Lampignano. Textbook of Radiographic Positioning and Related Anatomy. 2014 (8th edition)
    • Seung-Jae Lim, MD, Yoon-Soo Park, MD. Plain Radiography of the Hip: A Review of Radiographic Techniques and Image Features. Hip&Pelvis 2015.
    • L. Cerezal et al. Anatomy, Biomechanics, Imaging and Management of Ligamentum Teres Injuries. Radiographics 2010

    20/12/2017 

    (All the work (text, illustrations, visual elements) seen on this website is copyright by Radiology Expert.
    It may not be used without written permission of Radiology Expert).