• Home
  • Over ons
  • Modules
  • Basiskennis
  • Lichaamsdelen
  • Interventieradiologie
  • Inschrijven
  • Favorieten
    Nederlands
  • English
  • Nederlands
  • Module

    X-Hand

    De basis principes van het X-hand onderzoek.

    X-Hand
    Radiology Expert
    Toevoegen aan favorieten

    X-Hand - Introductie

    Het X-hand onderzoek kan zowel ingezet worden bij verdenking op acute pathologie (m.n. fractuur) als ook bij chronische pathologie (o.a. artrose).
    Belangrijke onderwerpen die aan bod komen zijn o.a. boksersfactuur, Rolando fractuur en Mallet vinger.

    Voorafgaand aan deze module is het verstandig de module Fractuurleer te volgen.
    Tip: module X-Pols is ook een mooie aanvulling om te volgen.
     

    BELANGRIJKE ONDERWERPEN/TERMEN IN DE MODULE:

    • Vinger luxatie
    • Tuft fractuur
    • Boksersfractuur
    • Bennett / Rolando fractuur
    • Skiduim
    • Mallet vinger
    • Boutonnière deformatie
    • Artrose
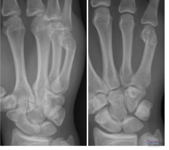
    Subcapitaal fractuur MC-V (= boksersfractuur). Subcapitaal fractuur MC-V (= boksersfractuur).
    Klik op afbeelding om overlay te zien

    Nieuwsgierig?

    Leer alles over X-Hand

    Koop een losse module voor €2,50 of alle modules voor €25 per jaar.
    Literatuur: bronnen en auteur

    Text

    drs. A. van der Plas (MSK radiologist Maastricht UMC+)

    With special thanks to:
    dhr. S. Challiui  (Advanced Practioner Radiology LUMC)
    dhr. A. Bubberman (Advanced Practioner Radiology LUMC)

    Illustrations

    drs. A. van der Plas (MSK radiologist Maastricht UMC+)


    Sources

    • B.J. Manaster et al. The Requisites – Musculoskeletal Imaging. 2007.
    • N. Raby et al. Accident & Emergency Radiology – A Survival Guide. 2005.
    • R.W.Bucholz Rockwood & Green’s Fracturen in Adults. 2006.
    • Prof.dr. J.A.N. Verhaar, dr. J.B.A. van Mourik. Orthopedie. 2008.
    • K.L. Bontrager, J.P. Lampignano. Textbook of Radiographic Positioning and Related Anatomy. 2014 (8th edition).

    20/03/2014

    (All the work (text, illustrations, visual elements) seen on this website is copyright by Radiology Expert.
    It may not be used without written permission of Radiology Expert).