• Home
  • Over ons
  • Modules
  • Basiskennis
  • Lichaamsdelen
  • Interventieradiologie
  • Inschrijven
  • Favorieten
    Nederlands
  • English
  • Nederlands
  • Module

    Interventieradiologie - De CVA Patient

    De rol van de interventieradioloog bij de opvang van CVA patienten.

    Interventieradiologie - De CVA Patient
    Radiology Expert
    Toevoegen aan favorieten

    Introductie

    Een beroerte/cerebrovasculair accident (CVA) is een acute levensbedreigende aandoening, waarbij snel handelen van cruciaal belang is om gevolgen (overlijden of blijvende neurologische schade) te minimaliseren en het herstel te bevorderen: “Time is Brain”. Snelle en adequate opvang, diagnostiek en behandeling is daarom essentieel.
    Sinds 2015 is een nieuwe behandeling van het CVA in de richtlijnen opgenomen, de mechanische trombectomie, waarbij een stolsel in het bloedvat in de hersenen mechanisch wordt verwijderd. De interventieradioloog (= subspecialisatie binnen het vakgebied radiologie) voert deze procedure doorgaans uit.  Veel ziekenhuizen hebben een zorgpad gecreëerd, waarbij er duidelijke afspraken gemaakt zijn tussen de specialismen neurologie en radiologie/interventieradiologie, zodat er goede en efficiënte zorg geleverd kan worden.

    Het belang van geavanceerde beeldvorming (m.n. CT angiografie en perfusie) en uitleg over de interventieprocedure (mechanische trombectomie) zullen in deze module uitgebreid aan bod komen. Daarnaast zal er een praktische inkijk gegeven worden in het algehele proces van de multidisciplinaire opvang van de CVA patiënt.

    BELANGRIJKE ONDERWERPEN/TERMEN IN DE MODULE:

    • Ischemisch CVA
    • Hemorragisch CVA
    • Hersenkwabben
    • Cerebrale vasculaire stroomgebieden
    • Voorste- en achterste circulatie
    • Cirkel van Willis
    • Segmenten a. carotis interna (ACI)
    • Segmenten a. cerebri media (ACM)
    • National Institutes of Health Stroke Scale (NIHSS)
    • Ischemische veranderingen blanco CT hersenen
    • Dens vessel sign / dot sign
    • Insullaire ribbon sign
    • Alberta Stroke Program Early CT Score (ASPECTS)
    • Large Vessel Occlusion
    • CT angiografie
    • CT perfusie (MTT, CBF, CBV, Tmax)
    • Tijd-densiteit curve
    • Core en penumbra
    • Carotis obstructies
    • Carotis dissectie
    • Carotis pseudo-occlusie
    • Intraveneus trombolyse (IVT)
    • Digitale Substractie Angiografie (DSA)
    • Intra-arteriële trombectomie (IAT) / mechanische trombectomie
    • Stentretriever en aspiratie
    • Modified Treatment in Cerebral Infarction (mTICI)
    • Carotis stenting
    • Modified Ranking Scale (mRS)
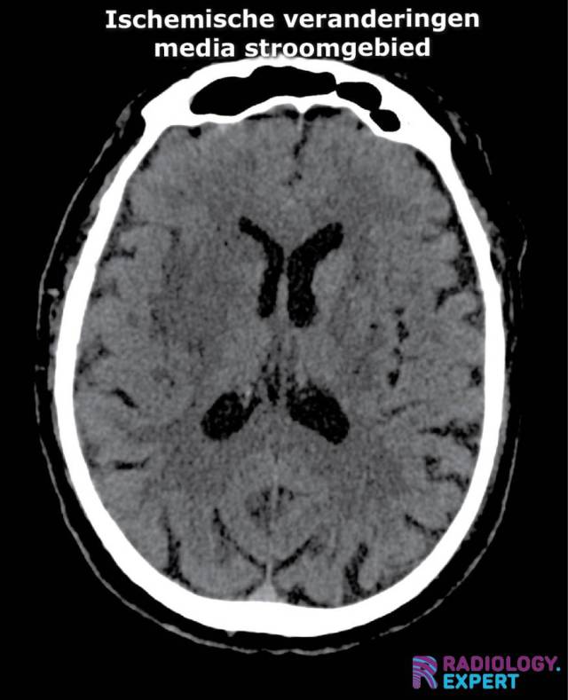
    ischemische veranderingen op CT bij media infarct. Insular ribbon sign. Verstrijking basale kernen ischemische veranderingen op CT bij media infarct. Insular ribbon sign. Verstrijking basale kernen
    Klik op afbeelding om overlay te zien

    Nieuwsgierig?

    Leer alles over Interventieradiologie - De CVA Patient

    Koop alle modules voor 1 maand voor €5,95 of alle modules voor €29,95 per jaar.
    Literatuur: bronnen en auteur

    Text & Illustrations

    drs.A. van der Plas, MSK radiologist Maastricht UMC+

    For content review, special thanks to:

    Prof. dr. W.H. van Zwam, interventional radiologist Maastricht UMC+
    Dr. S.W. de Boer, interventional radiologist Maastricht UMC+

    Sources:

    • M. Abdalkadera, J. E. Sieglerb et al.;Neuroimaging of Acute Ischemic Stroke: Multimodal Imaging Approach for Acute Endovascular Therapy. J. Stroke 2023

    • Dr. J.B.M. Kuks, Dr. J. W. Snoek; Klinische Neurologie (2007)

    • B.K. Menon et al; Multiphase CT angiography: a new tool for the imaging triage of patients with acute ischemic stroke. Radiology 2015;275:510-520

    • C.A. Potter; CT for Treatment Selection in Acute Ischemic Stroke: A Code Stroke Primer. Radiographics 2019

    • H.P. Adams Jr., P.H. Davis et al.;. Baseline NIH Stroke Scale score strongly predicts outcome after stroke: A report of the Trial of Org 10172 in Acute Stroke Treatment (TOAST). Neurology 1999

    • D. Runde; Calculated Decisions: NIH stroke scale/score (NIHSS). Emerg Med Pract. 2020

    • V. Puetz et al.; The Alberta Stroke Program Early CT Score in Clinical Practice: What have We Learned? Int J Stroke 2009

    • U.Jensen-Kondering, C. Riedel, O. Jansen; Hyperdense artery sign on computed tomography in acute ischemic stroke. World J Radiol. 2010

    • A.Y. Poppe et al.; Tandem Carotid Lesions in Acute Ischemic Stroke: Mechanisms, Therapeutic Challenges, and Future Directions. American Journal of Neuroradiology (2020)

    • S.H. Baik; A Review of Endovascular Treatment for Posterior Circulation Strokes. Neurointervention (2023)

    • S.M Pilgram-Pastor et al.; Stroke thrombectomy complication management. J Neurointerv Surg. (2021)

    • M.U.Farooq; Pathophysiology and management of reperfusion injury and hyperperfusion syndrome after carotid endarterectomy and carotid artery stenting. Experimental & Translational Stroke Medicine (2016)

    26/02/2024

    (All the work (text, illustrations, visual elements) seen on this website is copyright by Radiology Expert.
    It may not be used without written permission of Radiology Expert).