• Home
  • Over ons
  • Modules
  • Basiskennis
  • Lichaamsdelen
  • Interventieradiologie
  • Inschrijven
  • Favorieten
    Nederlands
  • English
  • Nederlands
  • Module

    Fractuurleer

    De basis principes over het beoordelen van fracturen.

    Fractuurleer
    Radiology Expert
    Toevoegen aan favorieten

    Fractuurleer - Introductie

    Het detecteren en beschrijven van fracturen lijkt op het eerste gezicht misschien simpel—er is een fractuur, punt. Maar, achter elke fractuur schuilt een samenspel van anatomie, biomechanica, genezing en beeldvorming. 
    Het herkennen en correct beschrijven van fracturen is voor beginnende artsen en studenten vaak een uitdaging. Fractuurlijnen kunnen subtiel zijn, projecties misleidend en mimics kunnen verraderlijk echt lijken. Een nauwkeurige beoordeling en beschrijving van fracturen is echter essentieel voor het starten van de juiste behandeling én voor het inschatten van complicatierisico’s en prognose.

    In deze module begeleiden we je stap voor stap door de wereld van fracturen. Je leert alles over de verschillende fractuur type, algemene terminologie, fractuurgenezing, conservatieve vs. operatieve behandelingen en potentiële complicaties die kunnen optreden. 
    Daarnaast verken je veelvoorkomende fractuur mimics en leer je de waarde van verschillende beeldvormingstechnieken zoals röntgen, CT, MRI en echografie.

    Kortom: deze module geeft je een stevige basis om fracturen te herkennen en te begrijpen. Duik erin, ontdek de logica achter fracturen en ontwikkel skills om fracturen vanaf nu nauwkeurig te beschrijven, zodat de patiënt adequaat behandeld kan worden.
     

     
    BELANGRIJKE ONDERWERPEN/TERMEN IN DE MODULE:

    • Soorten/type fracturen
    • Stress fractuur
    • Pathologisch fractuur
    • Incomplete fracturen (Greenstick en torus fractuur)
    • Epifysiolyse (Salter-Harris classificatie)
    • Systematische beschrijving
    • Fractuur mimics 
    • Rol van röntgen/CT/MRI/echografie
    • Fysiologie fractuurgenezing
    • Periostreactie, callusvorming, consolidatie
    • Conservatieve behandeling vs, operatief (interne en externe fixatie)
    • Complicaties gerelateerd aan fixatiemateriaal
    • Non-union
    • Delayed union
    • Malunion
    • Pseudo-artrose
    • Infectie/osteomyelitis
    • Secundaire artrose
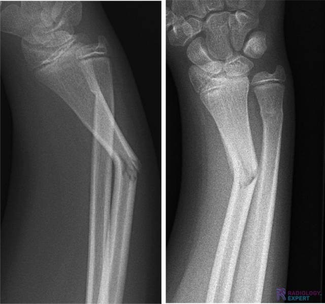
    radiusschacht en  ulnaschacht fractuur. radiusschacht en  ulnaschacht fractuur.
    Figuur 1. Laterale en anterior-posterior opname van de linker onderarm/pols. Een kind (9 jaar oud) met distale radiusschacht & ulnaschacht fractuur. Beide tonen een dorso-ulnaire dislocatie over circa een schachtbreedte.
    Klik op afbeelding om overlay te zien

    Nieuwsgierig?

    Leer alles over Fractuurleer

    Koop alle modules voor 1 maand voor €5,95 of alle modules voor €29,95 per jaar.
    Literatuur: bronnen en auteur

    Text & Illustrations

    drs. A. van der Plas, MSK radiologist Maastricht UMC+
     
    Sources:

    • W. Ghanem et al.; State of the Nonunion: A review of the latest literature. Orthopedic Reviews (2025)
    • JD. Thomas; JL. Kehoe; Bone Nonunion. Statpearls (2023)
    • KM. Bowers et al.; Delayed Union and Nonunion: Current Concepts, Prevention, and Correction: A Review. Bioengineering (2024)
    • M. Odorizzi; Posttraumatic Pseudoarthrosis of a Clavicle Fracture in an 11-Year-Old Girl: A Case Report and Analysis. Case Rep Orthop (2020)
    • B.J. Manaster et al. The Requisites – Musculoskeletal Imaging. 2007
    • N. Raby et al. Accident & Emergency Radiology – A Survival Guide. 2005.
       

    05/12/2025 

    (All the work (text, illustrations, visual elements) seen on this website is copyright by Radiology Expert.
    It may not be used without written permission of Radiology Expert).