• Home
  • Over ons
  • Modules
  • Basiskennis
  • Lichaamsdelen
  • Interventieradiologie
  • Inschrijven
  • Favorieten
    Nederlands
  • English
  • Nederlands
  • Module

    Echografie Techniek

    Lees alles over de basistechniek van de echografie.

    Echografie Techniek
    Radiology Expert
    Inhoudsopgave
    Toevoegen aan favorieten

    Echografie Techniek - Introductie

    Hoe komt een echografisch beeld tot stand? Hoe wordt het onderzoek uitgevoerd en wat zijn de mogelijkheden? Deze vragen en nog veel meer worden besproken.
    Belangrijke termen die o.a. voorbij komen zijn echogeniciteit, Color Doppler en transducers
    Het wordt met name aangeraden deze module te volgen voordat je begint met de gerichte modules over echografische onderzoeken (zoals module Echo Abdomen Algemeen).
     

    BELANGRIJKE ONDERWERPEN/TERMEN IN DE MODULE:

    • Transducers
    • Echogeniciteit
    • Color Doppler
    • Duplex Doppler
    • Slagschaduw
    • Geluidstransmissie
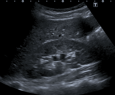
    Echografie; normale nier

    Nieuwsgierig?

    Leer alles over Echografie Techniek

    Koop alle modules voor 1 maand voor €5,95 of alle modules voor €29,95 per jaar.
    Literatuur: bronnen en auteur

    Text

    drs. A. van der Plas (MSK radiologist Maastricht UMC+)

    With special thanks to:
    drs. F.Y. Jiang (radiologist Haga Ziekenhuis, Den Haag)
     

    Illustrations

    drs. A. van der Plas (MSK radiologist Maastricht UMC+)


    Sources:

    • B. Block. Abdominal Ultrasound: Step by Step (2004).
    • W.D. Middleton et al. The Requisites – Ultrasound (2004).

    16/02/2016 

    (All the work (text, illustrations, visual elements) seen on this website is copyright by Radiology Expert.
    It may not be used without written permission of Radiology Expert).