• Home
  • Over ons
  • Modules
  • Basiskennis
  • Lichaamsdelen
  • Interventieradiologie
  • Inschrijven
  • Favorieten
    Nederlands
  • English
  • Nederlands
  • Module

    Echo abdomen

    De basis principes van het echo onderzoek van het abdomen.

    Echo abdomen
    Radiology Expert
    Toevoegen aan favorieten

    Echo Abdomen - Introductie

    Een echo abdomen onderzoek is in de klinische praktijk niet meer weg te denken. Lees alles over mogelijkheden/beperkingen van dit onderzoek en de veel voorkomende pathologie. Onderwerpen die o.a. voorbij komen zijn galstenen, steatose, hydronefrose en appendicitis. 
    Voorafgaand aan deze module is het verstandig module Echografie Techniek te volgen.

    Deze module is opgebouwd uit de onderdelen indicatie/techniek, normale anatomie, stappenplan en pathologie.
     
    BELANGRIJKE ONDERWERPEN/TERMEN IN DE MODULE:

    • Leverlaesies
    • Steatose
    • Galstenen
    • Verwijde galwegen
    • Nierlaesies
    • Nierstenen
    • Hydronefrose
    • Blaastumor en blaastolsels
    • Splenomegalie
    • Aneurysma abdominalis
    • Appendicitis
    • Diverticulitis
    • DarmwandverdikkingVrij vocht
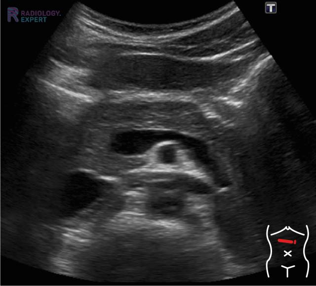
    Echo onderzoek van een normaal pancreas in sagittale richting. Normale anatomie. Echo onderzoek van een normaal pancreas in sagittale richting. Normale anatomie.
    Klik op afbeelding om overlay te zien

    Nieuwsgierig?

    Leer alles over Echo abdomen

    Koop een losse module voor €2,50 of alle modules voor €25 per jaar.
    Literatuur: bronnen en auteur

    Text

    drs. A. van der Plas (MSK radiologist Maastricht UMC+)
    drs. M.P.M. Kop (abdominal radiologist Amsterdam UMC)

    Illustrations

    drs. A. van der Plas (MSK radiologist Maastricht UMC+)


    Sources:

    • B. Block. Abdominal Ultrasound: Step by Step (2004).
    • W.D. Middleton et al. The Requisites – Ultrasound (2004).

    30/07/2016

    (All the work (text, illustrations, visual elements) seen on this website is copyright by Radiology Expert.
    It may not be used without written permission of Radiology Expert).