• Home
  • Over ons
  • Modules
  • Basiskennis
  • Lichaamsdelen
  • Interventieradiologie
  • Inschrijven
  • Favorieten
    Nederlands
  • English
  • Nederlands
  • Module

    CT hersenen bloeding

    De basis principes van het CT hersenen onderzoek, gericht op intracerebrale bloedingen.

    CT hersenen bloeding
    Radiology Expert
    Toevoegen aan favorieten

    CT hersenen Bloeding - Introductie

    Lees alles over de verschillende type intracerebrale bloedingen op een CT onderzoek. Verder komt de basis  hersenanatomie aan bod. 
    Belangrijke onderwerpen zijn subarachnoïdale bloeding, subdurale/epidurale bloeding en parenchymateuze bloeding.

    Voorafgaand aan deze module is het verstandig module Röntgen/CT techniek te volgen.

    Deze module is opgebouwd uit de onderdelen indicatie/techniek, normale anatomie, stappenplan en pathologie.
     
    BELANGRIJKE ONDERWERPEN/TERMEN IN DE MODULE:

    • Subarachnoïdale bloeding
    • Subduraal hematoom
    • Epiduraal hematoom
    • Parenchymateuze bloeding
    • Inklemming
    • Hydrocefalus
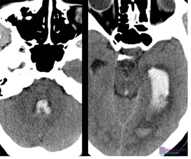
    Uitgebreid intraventriculair bloed in de linker laterale ventrikel, het aquaduct en de 4e ventrikel. Uitgebreid intraventriculair bloed in de linker laterale ventrikel, het aquaduct en de 4e ventrikel.
    Klik op afbeelding om overlay te zien

    Nieuwsgierig?

    Leer alles over CT hersenen bloeding

    Koop een losse module voor €2,50 of alle modules voor €25 per jaar.
    Literatuur: bronnen en auteur

    Text & Illustrations

    drs. A. van der Plas, MSK radiologist Maastricht UMC+
     
    Sources:

    • D. M. Yousem et al; The Requisites – Neuroradiology (2010)
    • J. B. M. Kuks,J.W. Snoek; Klinische neurologie (2007)
    • M. Schünke, E.Schulte, U.Schumacher; Anatomische atlas Prometheus: Hoofd, hals en neuroanatomie (2007)
    • A.D. Perron et al; A multicenter study to improve emergency medicine residents’ recognition of intracranial emergencies on computed tomography. Ann Emerg Med. 1998.
    • M. Prokop et al; Spiral and Multislice Computed Tomography of the body (2003)

    09/03/2014 

    (All the work (text, illustrations, visual elements) seen on this website is copyright by Radiology Expert.
    It may not be used without written permission of Radiology Expert).