• Home
  • About us
  • Modules
  • Basic knowledge
  • Body parts
  • Interventional radiology
  • Subscribe
  • Favourites
    Module

    Fractures - General Principles

    The basics principles of radiological fracture evaluation.

    Fractures - General Principles
    Radiology Expert
    add to favourites

    Imaging Techniques


    X-ray

    X-ray imaging is generally the first-line imaging technique for detecting fractures, due to its simplicity, low cost, and wide availability. In practice, X-rays are also frequently used as a standard method to monitor fracture healing.
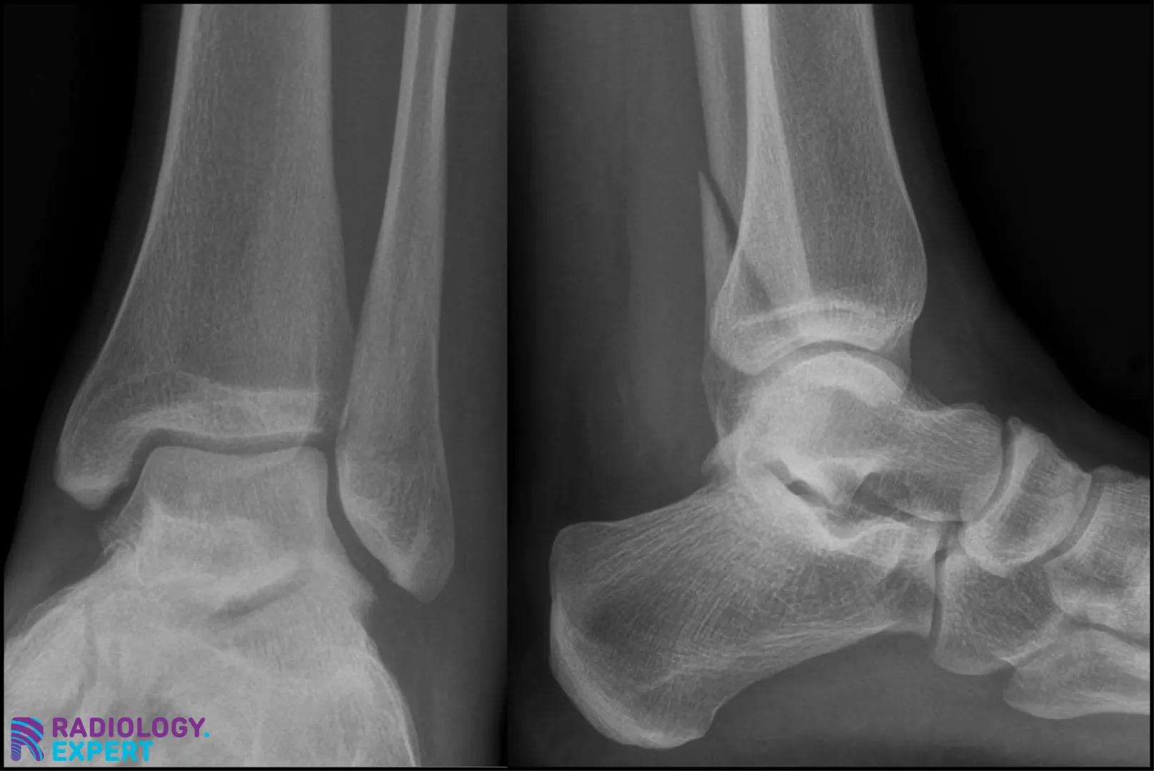
    The principle is based on absorption of X-rays by bone (see also X-ray/CT Technique module), which ultimately results in a two-dimensional image. The risk with two-dimensional images is that a fracture line may be invisible if it runs parallel to the direction of the X-ray beam (Fig. 13). Standard protocols therefore include (at least) two projections: often an anteroposterior (AP) view and a lateral view. Depending on the anatomical location, additional projections may be obtained, such as an oblique view for hand or foot fractures, or specific views (e.g., mortise view for ankle fractures). The clinical suspicion and the anatomy of the region of interest determine the choice of projections.
    It is important to know that X-ray sensitivity for detecting fractures depends on fracture location and complexity.

    Figure 13. Standard protocols generally include (at least) two projections. Ankle X-ray: the distal fibula fracture is almost invisible on the AP view (left) but clearly visible on the lateral view (right).
    Click image to see overlay

    Interested?

    Learn everything about Fractures - General Principles

    Buy a single module for €2,50 or all modules for €25 per year.
    Literature: sources and author

    Text & Illustrations

    drs. A. van der Plas, MSK radiologist Maastricht UMC+
     
    Sources:

    • W. Ghanem et al.; State of the Nonunion: A review of the latest literature. Orthopedic Reviews (2025)
    • JD. Thomas; JL. Kehoe; Bone Nonunion. Statpearls (2023)
    • KM. Bowers et al.; Delayed Union and Nonunion: Current Concepts, Prevention, and Correction: A Review. Bioengineering (2024)
    • M. Odorizzi; Posttraumatic Pseudoarthrosis of a Clavicle Fracture in an 11-Year-Old Girl: A Case Report and Analysis. Case Rep Orthop (2020)
    • B.J. Manaster et al. The Requisites – Musculoskeletal Imaging. 2007
    • N. Raby et al. Accident & Emergency Radiology – A Survival Guide. 2005.
       

    05/12/2025 

    (All the work (text, illustrations, visual elements) seen on this website is copyright by Radiology Expert.
    It may not be used without written permission of Radiology Expert).